Das größte Gelenk des Körpers

Kniegelenk

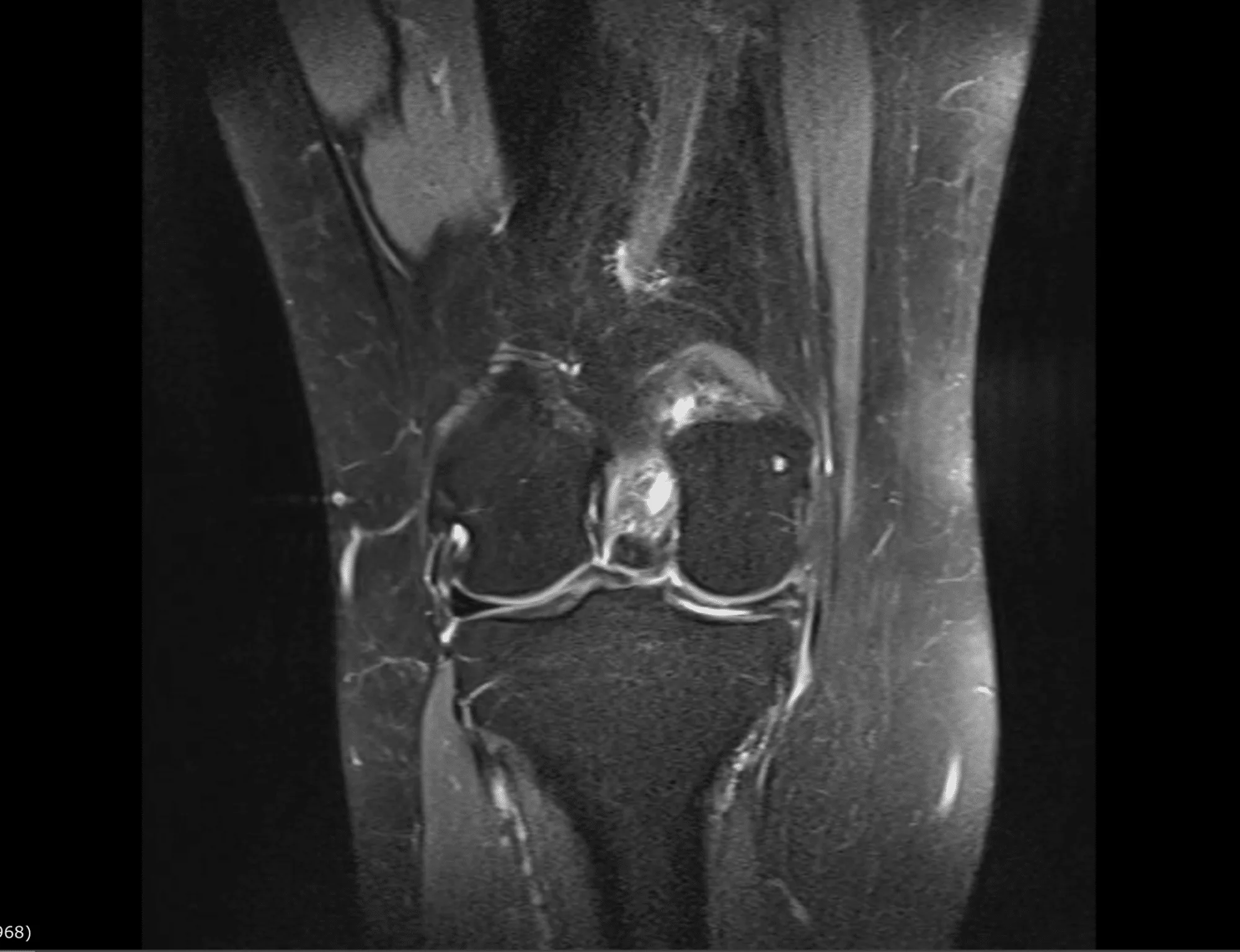
Das Knie ist bei sehr vielen Bewegungen und beim Sport ständig gefordert. Bei Verletzungen, Erkrankungen und Verschleiß im Bereich des Kniegelenkes suchen viele Patienten nach einem Knie-Spezialisten. Häufig betroffen sind Kreuzband, Knorpel und Meniskus. Schmerzen mit Einschränkungen der Beweglichkeit, Wegknicken oder Belastungsbeschwerden können auf einen Kniebinnenschaden hindeuten. In unserer Praxis setzen wir moderne Diagnostik und Bildgebung ein, um die richtige Behandlung einzuleiten. Sollte eine operative Therapie notwendig sein erfolgt diese minimal-invasiv mittels Arthroskopie (Gelenkspiegelung). Bei einer fortgeschrittenen Arthrose des Kniegelenks ist meist ein Gelenkersatz oder Teilgelenkersatz (Endoprothese/ Teilprothese) notwendig. Diese Operationen führen wir stationär in der Orthoklinik Lüneburg durch. Schonende Operationstechniken ermöglichen unseren Patienten eine schnelle Genesung.

Meniskusverletzung / Meniskusschaden

Der Meniskus ist ein ringförmiger Stoßdämpfer im Gelenk. Ihr Knie besitzt gleich zwei davon: Den Innen- und Außenmeniskus. Verletzungen des Meniskus können akut bei einem (Sport-) Unfall auftreten, häufige jedoch im Rahmen eines Verschleißes über einen längeren Zeitraum entstehen. Eine Meniskusverletzung geht mit einer verminderten Funktion als Stoßdämpfer einher, im schlimmsten Falle kommt es zu einem kompletten Funktionsverlust. Es droht dann ein verstärkter Verschleiß (Arthrose).

Initial ist häufig ein konservativer Therapieversuch möglich. Ab einem gewissen Ausmaß ist jedoch die arthroskopische Operation mit (Teil-)Entfernung des Meniskus oder Meniskusnaht indiziert.

Meniskusverletzung / Meniskusschaden

Der Meniskus ist ein ringförmiger Stoßdämpfer im Gelenk. Ihr Knie besitzt gleich zwei davon: Den Innen- und Außenmeniskus. Verletzungen des Meniskus können akut bei einem (Sport-) Unfall auftreten, häufige jedoch im Rahmen eines Verschleißes über einen längeren Zeitraum entstehen. Eine Meniskusverletzung geht mit einer verminderten Funktion als Stoßdämpfer einher, im schlimmsten Falle kommt es zu einem kompletten Funktionsverlust. Es droht dann ein verstärkter Verschleiß (Arthrose).

Initial ist häufig ein konservativer Therapieversuch möglich. Ab einem gewissen Ausmaß ist jedoch die arthroskopische Operation mit (Teil-)Entfernung des Meniskus oder Meniskusnaht indiziert.

Kreuzband-Verletzungen

Zentral im Kniegelenk befinden sich die Kreuzbänder. Bei Verletzungen dieser Bänder während des Sports oder durch einen Unfall kann es zu einer Instabilität des Kniegelenks kommen. In manchen Fällen kann das Knie durch eine krankengymnastische Behandlung und im Fitness-Studio wieder stabilisiert werden. Bei erhöhtem Anspruch an die Stabilität (Ballsport / Mannschaftssport) empfiehlt sich die operative Rekonstruktion (Kreuzbandplastik). Hierbei wird das Kreuzband durch eine körpereigene Sehne mittels einer Operation ersetzt.

Operative Maßnahmen

Kreuzband-Verletzungen

Zentral im Kniegelenk befinden sich die Kreuzbänder. Bei Verletzungen dieser Bänder während des Sports oder durch einen Unfall kann es zu einer Instabilität des Kniegelenks kommen. In manchen Fällen kann das Knie durch eine krankengymnastische Behandlung und im Fitness-Studio wieder stabilisiert werden. Bei erhöhtem Anspruch an die Stabilität (Ballsport / Mannschaftssport) empfiehlt sich die operative Rekonstruktion (Kreuzbandplastik). Hierbei wird das Kreuzband durch eine körpereigene Sehne mittels einer Operation ersetzt.

Operative Maßnahmen

Knorpelschaden

Der Gelenkknorpel ist die Gleitschicht in den Gelenken, die den Knochen im Gelenk aufliegt. Das Knorpelgewebe ist nicht durchblutet und wird über die Gelenkflüssigkeit ernährt. Unfälle oder zunehmender Verschleiß können zu Verletzungen oder einer Ausdünnung der Knorpelschicht führen. Aufgrund der fehlenden Blutversorgung heilen Knorpelschäden nicht von alleine. Umschriebene Knorpeldefekte können entweder ohne Operation (konservativ) oder durch verschiedene moderne, häufig minimalinvasive Operationsmethoden saniert werden. Zur Diagnosestellung und Therapieplanung erfolgt bei uns eine ausführlicher Untersuchung und Beurteilung Ihrer MRT-Bilder.

Knorpelschaden

Der Gelenkknorpel ist die Gleitschicht in den Gelenken, die den Knochen im Gelenk aufliegt. Das Knorpelgewebe ist nicht durchblutet und wird über die Gelenkflüssigkeit ernährt. Unfälle oder zunehmender Verschleiß können zu Verletzungen oder einer Ausdünnung der Knorpelschicht führen. Aufgrund der fehlenden Blutversorgung heilen Knorpelschäden nicht von alleine. Umschriebene Knorpeldefekte können entweder ohne Operation (konservativ) oder durch verschiedene moderne, häufig minimalinvasive Operationsmethoden saniert werden. Zur Diagnosestellung und Therapieplanung erfolgt bei uns eine ausführlicher Untersuchung und Beurteilung Ihrer MRT-Bilder.

Gonarthrose (Arthrose des Kniegelenks)

Bei einem großflächigen Verlust von Gelenkknorpel und Knöchernem Umbau des Gelenkes spricht man von Arthrose. Hier führt eine umschriebene Knorpeltherapie nicht zur Besserung der Beschwerden. In der Regel erfolgt in Abhängigkeit von Ihrem Leidensdruck zunächst das Ausreizen nicht-operativer Therapiemaßnahmen. Zum Einsatz kommen neben orthopädietechnische Hilfsmittel und Bewegungstherapie auch Injektionen mittels Hyaluronsäure oder Schmerztherapie auch mit Akupunktur.
Bei hohem Leidensdruck und erfolgloser konservativer Therapie ist der Gelenkflächenersatz indiziert. Je nach Ausprägung der Kniearthrose kommt der Einbau einer Schlittenprothese (Teilprothese) oder ein vollständiger Oberflächenersatz (Knie-TEP) in Frage.

Operative Maßnahmen

Gonarthrose (Arthrose des Kniegelenks)

Bei einem großflächigen Verlust von Gelenkknorpel und Knöchernem Umbau des Gelenkes spricht man von Arthrose. Hier führt eine umschriebene Knorpeltherapie nicht zur Besserung der Beschwerden. In der Regel erfolgt in Abhängigkeit von Ihrem Leidensdruck zunächst das Ausreizen nicht-operativer Therapiemaßnahmen. Zum Einsatz kommen neben orthopädietechnische Hilfsmittel und Bewegungstherapie auch Injektionen mittels Hyaluronsäure oder Schmerztherapie auch mit Akupunktur.
Bei hohem Leidensdruck und erfolgloser konservativer Therapie ist der Gelenkflächenersatz indiziert. Je nach Ausprägung der Kniearthrose kommt der Einbau einer Schlittenprothese (Teilprothese) oder ein vollständiger Oberflächenersatz (Knie-TEP) in Frage.

Operative Maßnahmen

In guten Händen

Gerne unterstützen wir auch Sie bei Ihrem Ziel, verloren geglaubte Lebensqualität zurückzuerlangen.

Copyright 2024 ©

 hoc-lueneburg.de